예방관리

  • 예방과 관리, 치아건강을 지키는 가장 확실한 방법입니다.

SEOUL EROUN DENTAL CLINIC

  • 정기검진
  • 가장 좋은 치료는 정기검진을 통한 예방입니다.
  • 정기검진을 통해 질환을 예방하고 병소를 초기에 발견하여 치료할 수 있습니다.
    정기검진은 자연치아를 오랫동안 건강하게 사용할 수 있게 하는 가장 좋은 방법입니다.
서울이로운치과 정기검진
스케일링,  잇몸치료
  • 스케일링, 잇몸치료
  • 잇몸이 튼튼해야 치아와 임플란트를 오래 사용할 수 있습니다.
  • 잇몸은 치아와 임플란트를 지지하는 부위입니다.
    잇몸에 문제가 생기면 치아와 임플란트가 흔들리게 되고 씹기 어려워집니다.
    정기적인 스케일링과 잇몸치료로 잇몸의 염증을 예방, 치료할 수 있고
    치아와 임플란트를 더 건강하게 오래 쓸 수 있게 됩니다.
  • 사랑니 발치
  • 안전한 시술이 가장 중요합니다.
  • 사랑니가 정상적으로 나지 않거나, 염증 통증 충치 등
    문제를 일으킬 때 발치가 필요합니다.
    사랑니의 위치에 따라 신경, 상악동 등 중요한 부분과 근접하고 있고
    이를 피해 안전하게 발치하는 것이 중요합니다.
    저희 병원에서는 3차원 CT 영상으로 술전에 충분히 진단하고 분석하여
    안전하게 사랑니를 발치합니다.
서울이로운치과 일반진료
서울이로운치과 일반진료
  • 턱관절질환, 이갈이 치료
  • 턱관절부위 통증, 입 벌리기 어려운 경우 턱관절치료가 필요합니다.
  • 턱을 움직이게 하는 턱관절에 문제가 생기면 씹기가 어려워지거나
    혹은 과도한 힘으로 씹게 됩니다.
    약물치료, 물리치료, 구강내 장치 등을 이용하여
    턱관절질환을 치료할 수 있습니다.
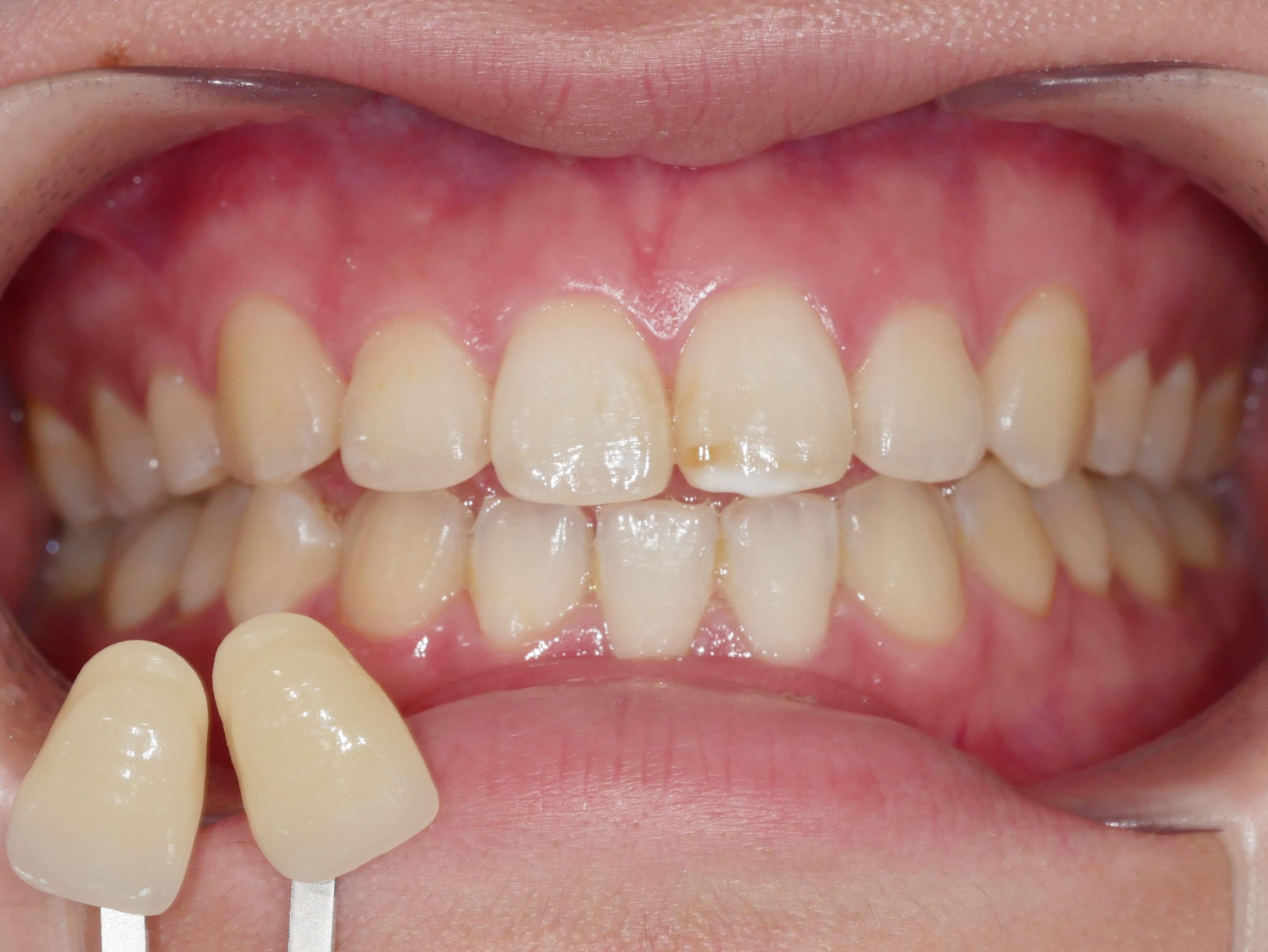
  • 치아미백
  • 환한 미소로 자신감을 되찾아보세요.
  • 전문가미백을 통해 안전하고 빠르게 환한 치아색을 되찾아드립니다.
    전문적인 촬영 장비, 3D구강스캔을 이용해 정확히 색상을 진단하고
    정밀한 미백장치를 제작하여 치료를 진행합니다.
스케일링,  잇몸치료

서울이로운치과 예방관리 치료케이스

CASE.01 사랑니발치, 임플란트
  • 사랑니발치, 임플란트
  • 사랑니발치, 임플란트

매복사랑니 발치 및 임플란트치료

치료전 2024.11.19 / 치료후 2025.03.29 

CASE.02 치아미백
  • 치아미백
  • 치아미백

치료전 2022.06.29 / 치료후 2022.07.06

  • Q.
  • 관리자 자주하는질문에 입력하시면 됩니다
  • 관리자 자주하는질문에 입력하시면 됩니다

  • Q.
  • 관리자 자주하는질문에 입력하시면 됩니다
  • 관리자 자주하는질문에 입력하시면 됩니다

  • 상담, 예약
  • 02-747-7528
  • 네이버예약카톡상담
  • 진료시간
  • 월,수,목,금10:00 – 18:30
    화(야간진료)10:00 – 20:30
    토요일09:30 – 13:00
    휴게시간13:00 – 14:00
    일요일 공휴일 휴진
  • 오시는 길
  • 서울 성북구 성북로 11
    청우빌딩 201호
  • 4한성대입구역 5번 출구
  • 스타벅스 한성대입구역점 2층
  • 건물 지하주차장 주차 가능
예약 및 상담문의 +
닫기