SEOUL EROUN DENTAL CLINIC



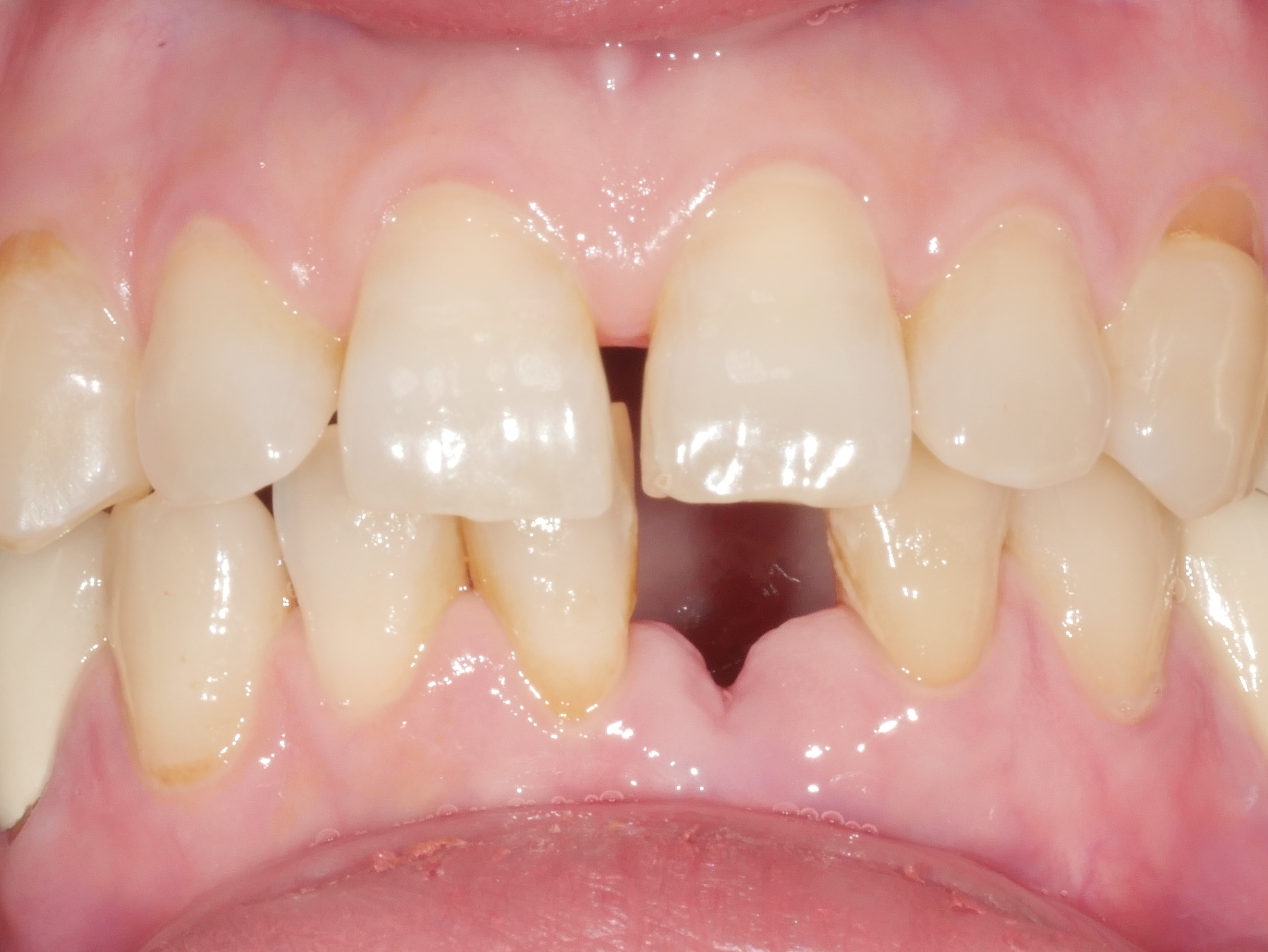
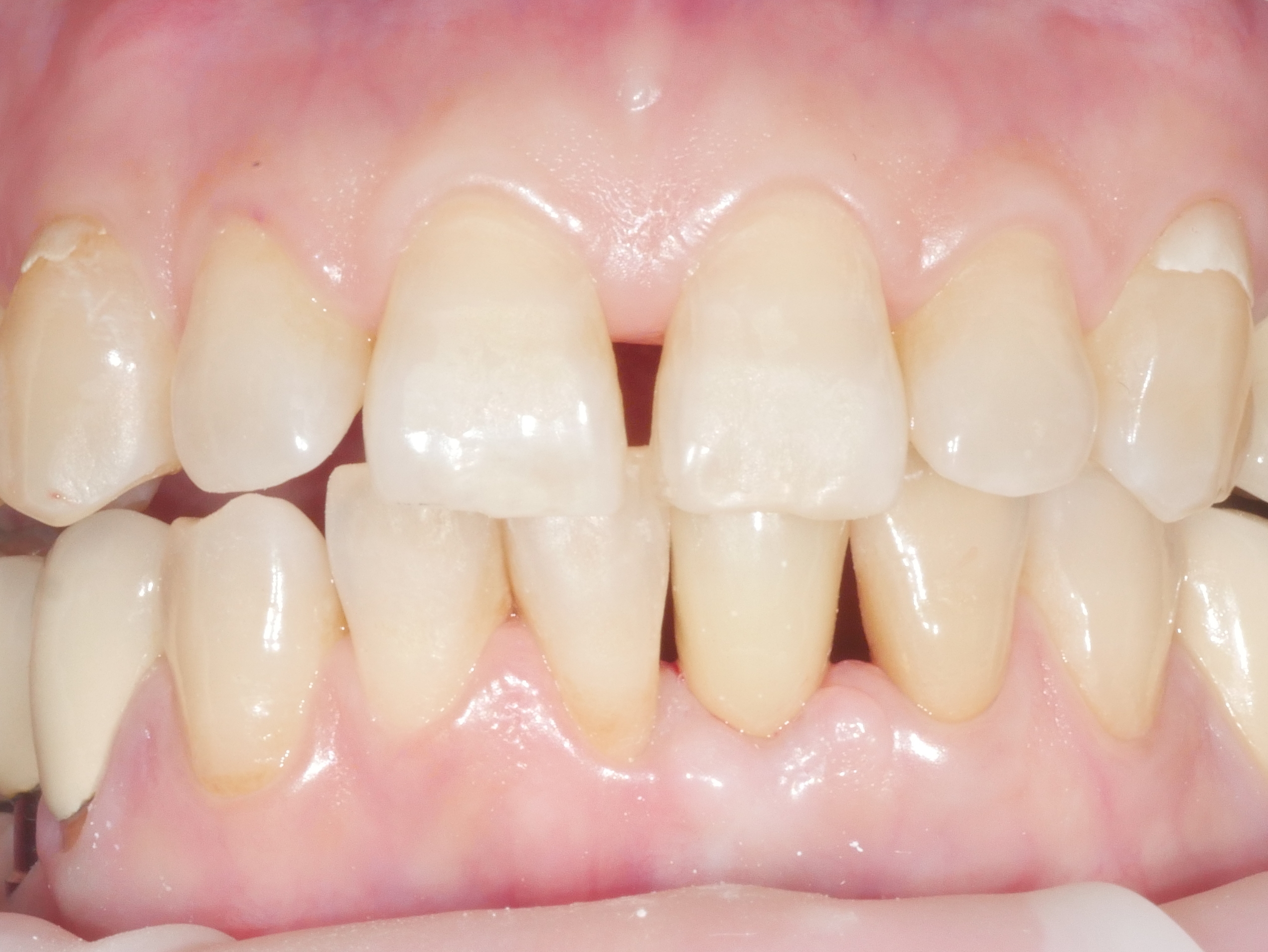
아래 앞니 빠진 부위를 임플란트로 치료
치료전 2025.04.15 / 치료후 2025.09.23


기존 임플란트 염증으로 임플란트제거, 골이식, 새 임플란트식립
치료전 2025.06.09 / 치료후 2025.09.15

임플란트

관리자 입력 출력됩니다 관리자 입력 출력됩니다
하시는 질문 답변입니다임플란트 많이 하시는 질문 답변입니다임플란트 많이 하시는 질문 답변입니다
임플란트 많이 하시는 질문 답변입니다임플란트 많이 하시는 질문 답변입니다임플란트 많이 하시는 질문 답변입니다

관리자 입력 출력됩니다 관리자 입력 출력됩니다
하시는 질문 답변입니다임플란트 많이 하시는 질문 답변입니다임플란트 많이 하시는 질문 답변입니다
임플란트 많이 하시는 질문 답변입니다임플란트 많이 하시는 질문 답변입니다임플란트 많이 하시는 질문 답변입니다
