CASE.7 사랑니발치, 임플란트
매복사랑니 발치 및 임플란트치료치료전 2024.11.19 / 치료후 2025.03.29
CASE.6 치아미백
치료전 2022.06.29 / 치료후 2022.07.06
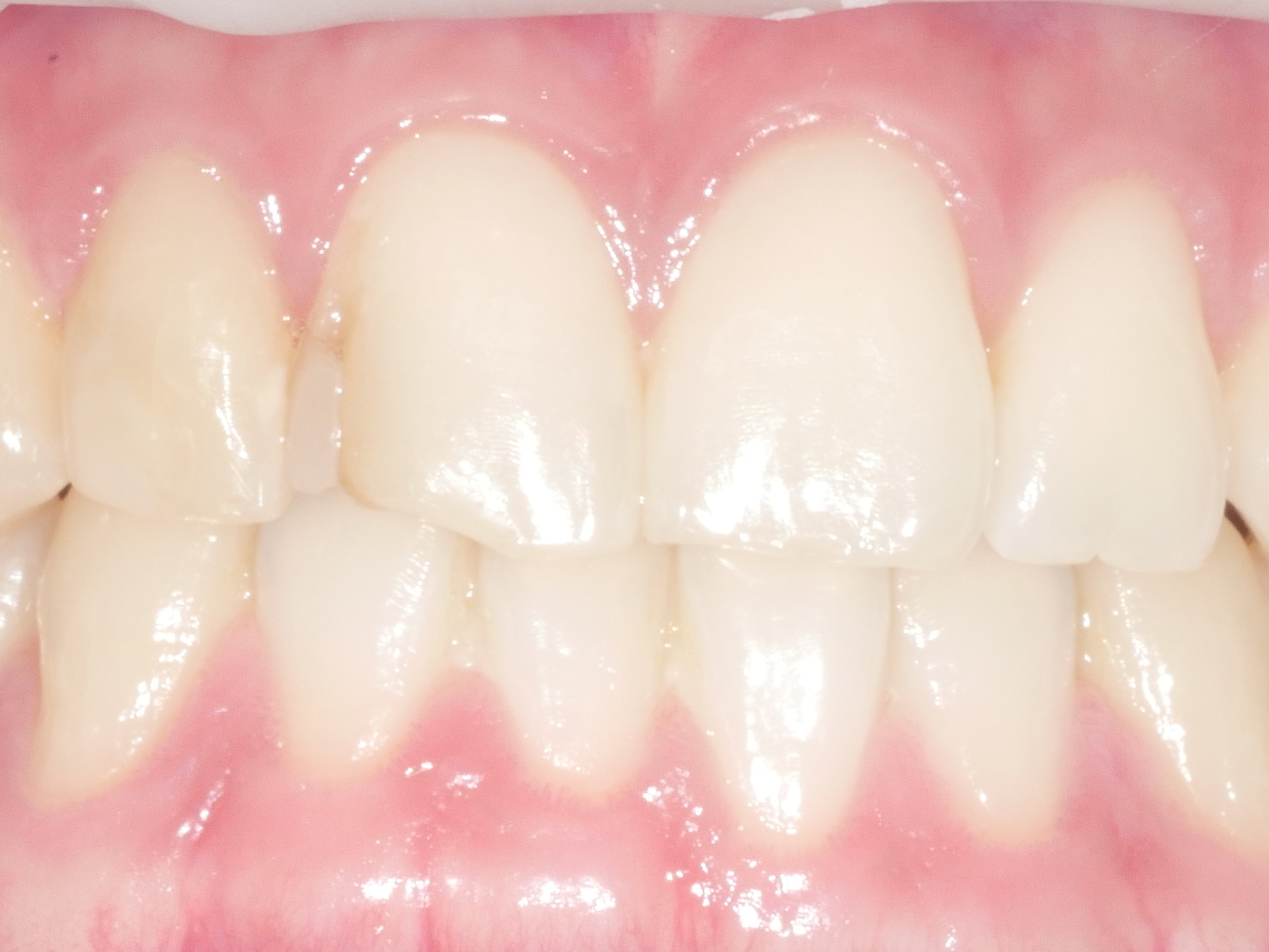
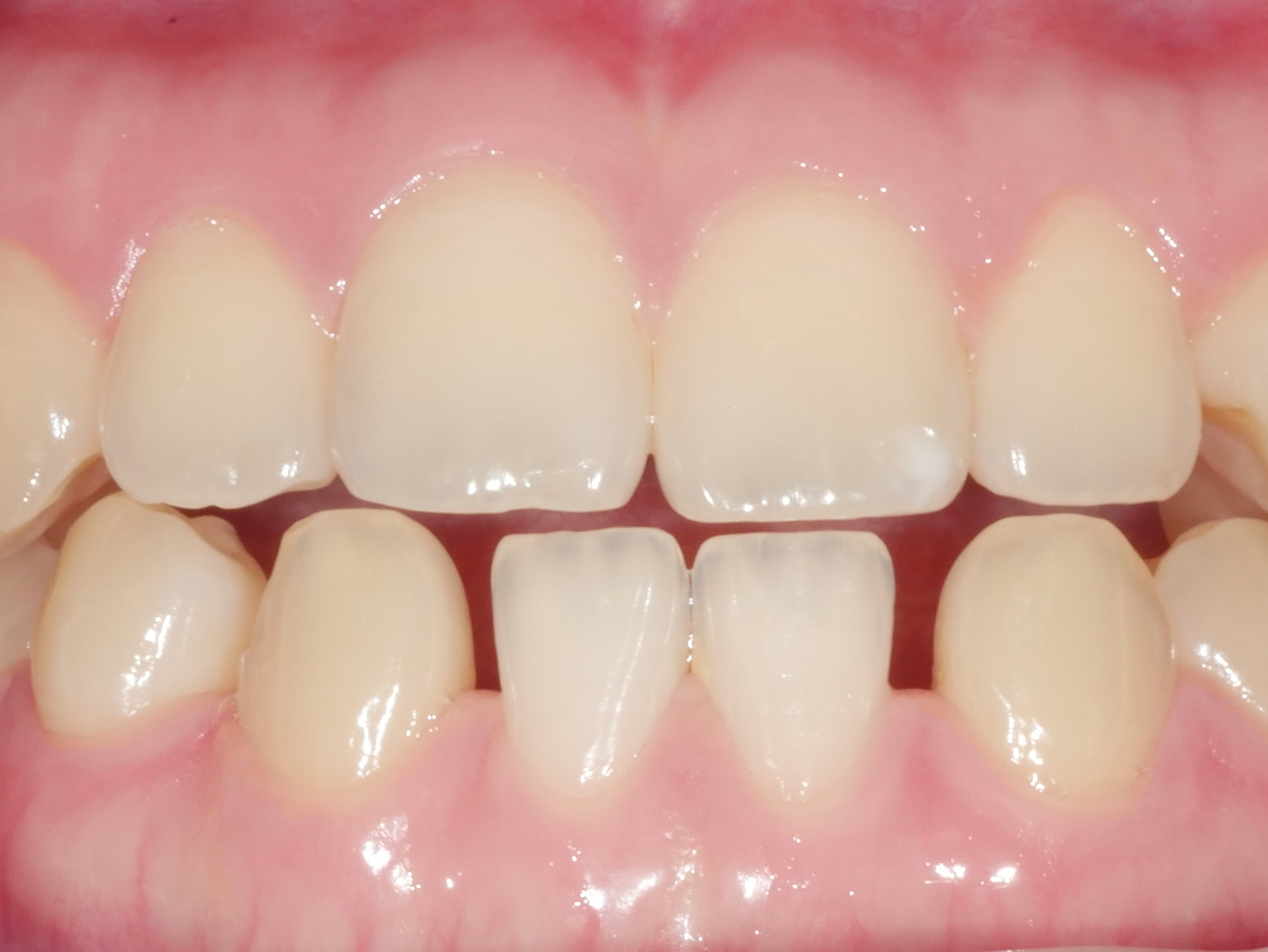
CASE.5 아래 앞니 치아 벌어짐 치료
내원 당일 치아 삭제 없이 레진치료치료전/후 2024.05.07
CASE.4 아래 앞니 임플란트
아래 앞니 빠진 부위를 임플란트로 치료치료전 2025.04.15 / 치료후 2025.09.23
CASE.3 임플란트 재치료
기존 임플란트 염증으로 임플란트제거, 골이식, 새 임플란트식립치료전 2025.06.09 / 치료후 2025.09.15
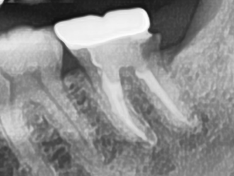
CASE.2 재신경치료
기존 신경치료 부분에 염증이 발생하여 재신경치료를 통해 치료치료전 2023.01.26 / 치료후 2023.02.27
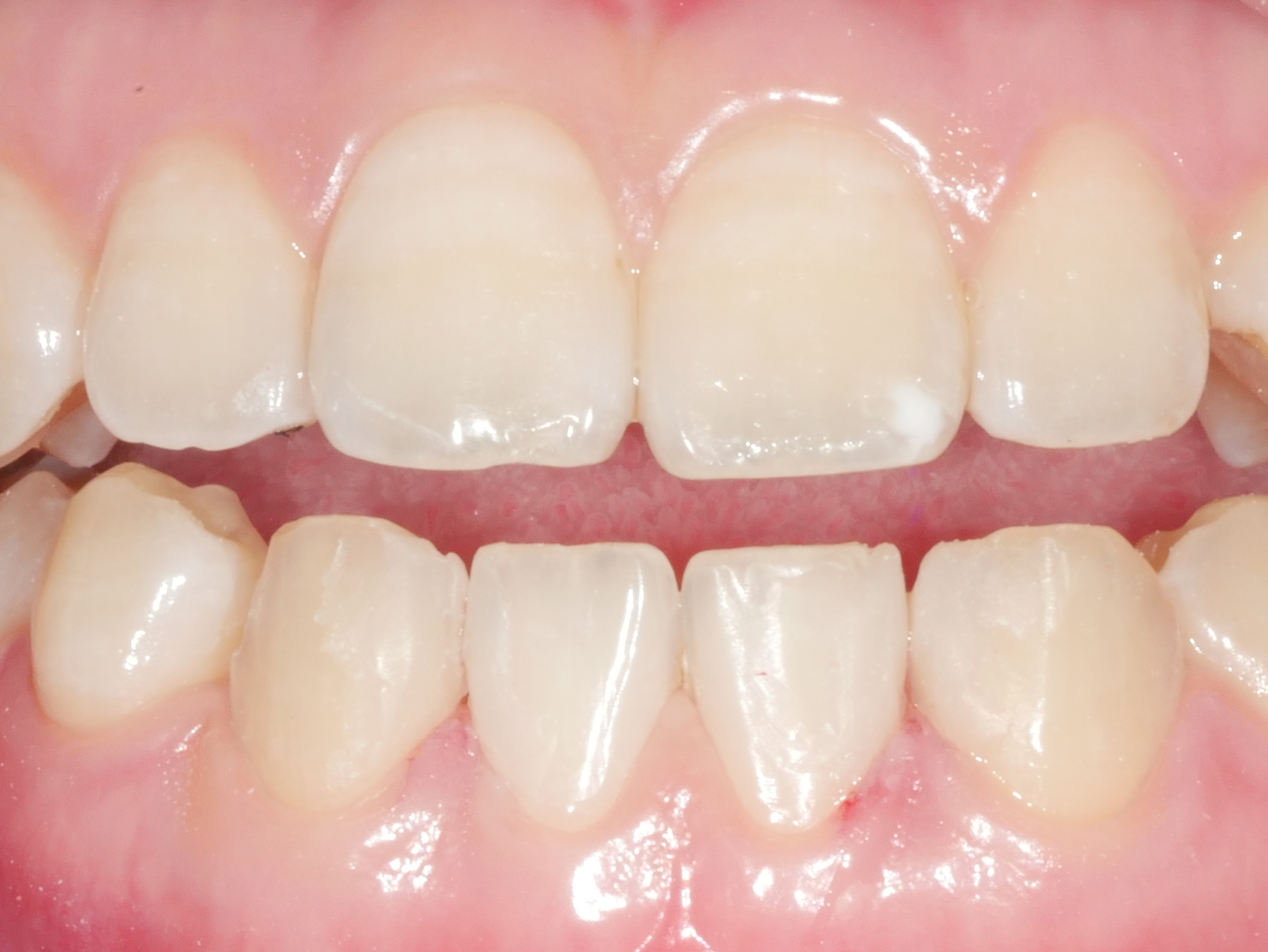
CASE.1 앞니 충치 레진치료
앞니에 생긴 충치와 파절부위를 레진으로 당일 치료치료전 2025.10.23 / 치료후 2025.10.23

- 1
